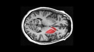
EPFL scientists have identified specific neurons in the striatum that contribute to driving motivated behaviors like movement. The work may help in designing new ways of treating disorders like Parkinson’s disease in the long term. Read more
EPFL scientists have identified specific neurons in the striatum that contribute to driving motivated behaviors like movement. The work may help in designing new ways of treating disorders like Parkinson’s disease in the long term. Read more