EPFL scientists have used quantum dots to track individual receptors in the cell membrane. The work connects receptor function to mobility, and offers new insights to regulation of signal transmission in the cell — Read more
How receptor mobility and function are linked
A novel material turns space radiation into electricity
EPFL scientists are developing a material that can turn X-rays, as well as light, into electricity. The material can be used on photovoltaics used in space exploration. Read more
Super-resolution microscopy reveals 3D organization of genes
EPFL scientists have used super-resolution microscopy to study in unprecedented detail the organizational structure of genes that regulate the development of the embryo. Read more
Uncovering the inner workings of hydrogen-processing enzymes
EPFL scientists have determined the mechanism of a hydrogenase enzyme that can be used for hydrogen processing. The work can potentially improve future hydrogen-energy technologies like fuel cells and hydrogenation plants. Read more
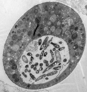
The cholera bacterium can hitchhike amoebas to avoid danger
EPFL scientists have discovered that the cholera bacterium can hitchhike aquatic amoebas, which might allow it to bypass threats in the surrounding water as well as the human stomach. The finding could have major implications for cholera transmission to humans. Read more
