EPFL researchers have discovered how intestinal worm infections cross-talk with gut bacteria to help the immune system. Read more
Article: Intestinal worms “talk” to gut bacteria to boost the immune system
Article: Looking at the earliest galaxies

This illustration shows the NASA/ESA Hubble Space Telescope in its high orbit 600 kilometres above Earth (copyright: ESA).
An international team of astronomers led by EPFL have discovered over 250 of the universe’s earliest galaxies. This sample includes the faintest and smallest of the first-generation dwarf galaxies to be discovered, and offers important clues about the nature of the early universe. Read more
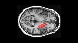
Article: How the brain triggers action
EPFL scientists have identified specific neurons in the striatum that contribute to driving motivated behaviors like movement. The work may help in designing new ways of treating disorders like Parkinson’s disease in the long term. Read more
EPFL students revolutionize medical sterilization
Sterilux, a startup founded by EPFL students, has created a prototype sterilization kit for medical tools for hospitals in developing countries. Read more
Dissecting the electronic dynamics of a photovoltaic material
EPFL scientists have used X-ray absorption spectroscopy to probe the trapping dynamics of photogenerated electrons. Read more

